18 October, 09:35
Does a gut punch come with fries (or a med bed?)?
Little update, patriots.
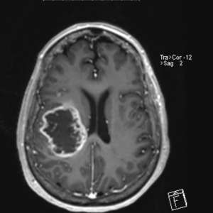
My symptoms were worse yesterday, so I went to the 2nd neurosurgeon's hospital and had another MRI. My glioblastoma is twice as large as itt was 2 months ago. No, that's not good news. The rest of my life will be in a hospital bed. But I'm upgrading to a better one. Pull-ups, Purewicks and Chucks from now on (look it up).😂
Thery;re saying weeks to months to live (more l;ike weeks.).I guess I'll keep getting more sleepy.and pass in peace.
Yes Ivermectin is in hand.
the hospital violated my HiPAA rights today. Wish you could have seen me in action.I got a fast apology cause I said the word lawyer to the administration lackey.
Stop fooking talking about med beds! Falae hope isn't funny in the least.
I don't fucking want to die. But looks like god has other plans for me.
I love all of you so deeply that I can't express it.💙
Love & laugh.
https://www.youtube.com/wa...
Little update, patriots.
My symptoms were worse yesterday, so I went to the 2nd neurosurgeon's hospital and had another MRI. My glioblastoma is twice as large as itt was 2 months ago. No, that's not good news. The rest of my life will be in a hospital bed. But I'm upgrading to a better one. Pull-ups, Purewicks and Chucks from now on (look it up).😂
Thery;re saying weeks to months to live (more l;ike weeks.).I guess I'll keep getting more sleepy.and pass in peace.
Yes Ivermectin is in hand.
the hospital violated my HiPAA rights today. Wish you could have seen me in action.I got a fast apology cause I said the word lawyer to the administration lackey.
Stop fooking talking about med beds! Falae hope isn't funny in the least.
I don't fucking want to die. But looks like god has other plans for me.
I love all of you so deeply that I can't express it.💙
Love & laugh.
https://www.youtube.com/wa...
Notice: Undefined index: tg1tga_access in /home/admin/www/anonup.com/themes/default/apps/timeline/post.phtml on line 396
Only people mentioned by chris1949 in this post can reply